【実際の治療例】胃カメラ後も続く強いみぞおちの痛み…腹部エコーで判明した大腸憩室炎|池袋上田胃腸クリニック
「胃カメラで軽い胃炎と言われたのに胃痛・みぞおち痛が治らない。」
このようなケースでは、実は胃が原因でないことも少なくありません。
今回は、他院で胃炎と診断されたものの改善せず、当院での診察と腹部エコーで大腸憩室炎と判明した症例をご紹介します。
治らない胃痛・みぞおち痛でお困りの方がいらっしゃれば、このケースが受診のきっかけになれば幸いです。
▶池袋上田胃腸クリニックではWEB予約・電話予約を受け付けています。お悩みの方はぜひご相談ください。
※ご予約がない方でも受付時間内に受診して頂ければ診察可能です。
実際の治療例|50代男性「3日前からの胃痛が治らない」
症状
-
3日前から強いみぞおちの痛み
-
他院で胃カメラ → 軽い胃炎と診断
-
内服治療するも改善なく当院を受診
診察
触診時、
-
強い圧痛
-
反跳痛(押して離すとズキンと響く痛み)
反跳痛は腹膜刺激を示唆する重要所見であり【1】、単なる胃炎では説明しにくい所見です。
このような所見がある場合は「胃カメラ済みだから大丈夫」と考えず、原因を幅広く考える必要があります。
みぞおち痛で考えるべき胃以外の疾患
-
小腸炎(感染・炎症性腸疾患)
-
急性膵炎
-
胆石・胆のう炎
-
虫垂炎初期
-
大腸憩室炎(横行結腸)
-
腸閉塞 など
特に横行結腸の炎症は、上腹部痛として出ることがあります。
正しく状態を把握し、治療方針を立てるため血液検査と腹部エコーを行いました。
検査
血液検査
・炎症反応の上昇あり
腹部エコー

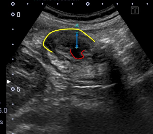
・横行結腸(黄色部分)に憩室を認め(赤色部分)、炎症により周囲の大腸壁が10㎜大に浮腫んでいました(矢印部分)。
➡検査結果から横行結腸の大腸憩室炎と診断しました。
💡当院では今回の方のように最短当日に腹部エコー・血液検査がお受け頂けますので、お気軽にお問い合わせください。
-
▶ WEB予約/▶ 電話相談:03-5953-5903
- 関連ページ:エコー検査|実際の流れや検査で分かる病気の詳細がご確認いただけます
治療
今回は穿孔などの重篤な合併症のない状態であり、
外来で
-
抗菌薬投与
-
腸管安静(食事制限)
を行い、5日間ほどで改善しました。
大腸憩室炎とは?
大腸の壁の一部が外側に小さくふくらんだ袋状の構造を「憩室(けいしつ)」といいます。加齢や腸内圧の上昇などを背景に形成され、日本でも中高年を中心に増加しています【4】。
その憩室の中に便や細菌が入り込み、炎症を起こした状態が大腸憩室炎です。
なぜ憩室はできるのか?
主な要因は以下と考えられています。
-
加齢による腸壁の脆弱化
-
便秘などによる腸管内圧の上昇
-
食物繊維摂取量の低下
-
腸内環境の変化
特に腸管内圧が高くなると、血管が通る弱い部分から粘膜が外へ押し出され、憩室が形成されます。
痛みの場所が一定ではない理由
大腸は腹部をぐるりと取り囲む臓器です。
-
右側(上行結腸)
-
上腹部(横行結腸)
-
左側(下行結腸・S状結腸)
どの部位に炎症が起きるかで、痛む場所が変わります。
そのため、横行結腸に炎症があると「みぞおちの痛み」として感じることがあるのです。
「胃が痛い」と思っても、実は腸の炎症というケースは珍しくありません。
どんな症状が出る?
代表的な症状は
-
局所の持続する腹痛
-
押すと痛い(圧痛)
-
押して離すと痛い(反跳痛)
-
発熱
-
食欲低下
-
便通異常(便秘・下痢)
炎症が腹膜まで及ぶと、動いたときにズキンと響く痛みが出ます【1】。
重症化するとどうなる?
大腸憩室炎は多くが軽症ですが、放置すると
-
膿瘍形成(うみがたまる)
-
穿孔(腸に穴があく)
-
腹膜炎
-
腸閉塞
といった合併症に進展することがあります【2】。
このため、
-
強い痛み
-
発熱
-
血液検査で強い炎症反応
がある場合は、CTによる重症度評価が推奨されます【2】。
憩室がある=必ず炎症が起きる?
いいえ。
憩室があっても、ほとんどの方は無症状です。炎症を起こしたときのみ「憩室炎」となります。
再発はする?
憩室炎は再発することがあります。
ただし、
-
便通コントロール
-
食物繊維摂取
-
生活習慣改善
によってリスクは低減可能とされています【4】。
関連ページ
▶大腸憩室炎について専門医の院長によるより詳しい説明はこちら
院長からのコメント
池袋エリアはビジネス層も多く、「胃が痛くても忙しくて様子を見てしまう」方が少なくありません。
しかし、
-
強い痛みが続く
-
押して離すと響く
-
発熱を伴う
場合は、胃以外の原因を疑う必要があり、腹部全体を多角的に評価することが早期改善につながります。
当院では胃カメラだけでなく、血液検査や腹部エコーを組み合わせることで、当日中に診断をつけられる体制で診療を行っております。
お困りの方は是非ご相談ください。
お電話での予約・お問い合わせ:03-5953-5903
※来院時間や当日の状況によっては翌日以降の検査となる場合もあります
よくある質問(FAQ)
Q. みぞおちが痛いのに、原因が大腸のことはありますか?
A. はい。大腸憩室炎は痛む場所が一定ではなく、炎症部位によって上腹部(みぞおち付近)に痛みが出ることもあります。胃カメラで説明がつかない強い痛みは、腹部エコーなどで評価します【3】。
Q. 胃カメラで「軽い胃炎」と言われたのに痛みが強いのはなぜ?
A. 胃炎が軽度でも痛みが強いことはありますが、別の臓器(胆のう・膵臓・腸など)が原因の可能性もあります。診察と血液検査、画像検査で総合的に判断するのが安全です【2】。
Q. 反跳痛(押して離すと痛い)は危険ですか?
A. 反跳痛は腹膜が刺激されているサインの一つで、腹膜炎などを示唆することがあります【1】。痛みが強い・悪化する場合は早めの受診が安全です。
Q. 大腸憩室炎の診断は腹部エコーだけでできますか?
A. 当院ではほとんどの場合、エコーで診断できます。ただし、腸管のエコー検査に慣れていない医療機関では正しく診断ができないこともあります。
Q. どんなときにCTが必要になりますか?
A. 痛みが強い・高熱・血液検査で炎症が強い・合併症(膿瘍や穿孔)が疑われる、などの場合はCTで重症度評価を検討します【3】【4】。
Q. 大腸憩室炎は抗生剤(抗菌薬)を必ず使いますか?
A. 状態によります。軽症の合併症のない憩室炎では抗菌薬を routine に使わない考え方もあります【5】。一方、症状が強い、炎症が強い、合併症が疑われる場合は抗菌薬治療が重要になります【4】【5】。
Q. 食事はどうすればいいですか?
A. 急性期は「腸を休める」目的で食事調整(絶食)を行い、症状が落ち着いたら段階的に戻します。ガイドラインでも腸管安静を含む治療が示されています【4】。
Q. 痛み止めは飲んでいいですか?
A. 受診前に自己判断で強い鎮痛薬を使うと、診察所見が分かりづらくなることがあります。まずは医療機関へ相談を。使用する薬は病状に合わせて選びます。
Q. 大腸憩室炎のあとに大腸カメラは必要ですか?
A. 憩室炎と似た所見として大腸の腫瘍が紛れることもあるため【5】、症状が落ち着いてから大腸内視鏡を受けることが大切です
Q. 受診の目安は?救急車を呼ぶべき症状は?
A. 痛みが急に強くなる/歩けないほどの激痛/高熱/繰り返す嘔吐/お腹が板のように硬い/冷汗・意識がぼんやり、などは早急な評価が必要です。反跳痛がある場合も早めの受診が安全です【1】。
まとめ
✔ みぞおち痛=胃とは限らない
✔ 反跳痛は重要なサイン
✔ 腹部エコーは有用な診断ツール
✔ 大腸憩室炎は早期治療が大切
関連ページ(内部リンク案)
▶【胆石症】みぞおちの痛み・胃痛と思ったら胆石?原因・症状・検査・治療を専門医が解説
参考文献
【1】MedlinePlus. Rebound tenderness.
【2】WSES guidelines for acute colonic diverticulitis 2020.
【3】Ultrasound in diverticulitis diagnosis (systematic review).
【4】日本消化管学会 大腸憩室症ガイドライン.
【5】AGA Clinical Practice Update on Diverticulitis.
医師紹介
東海林英典(しょうじ ひでのり)院長
📍経歴
国立東北大学医学部卒業後、消化器内科・内視鏡内科の道を歩み始め、日本屈指の胃腸・内視鏡専門病院の平塚胃腸病院にて消化器・胃腸疾患と内視鏡検査・治療に従事。
胃腸疾患の外来診療を行いながら、年間3000件弱の内視鏡検査、および在院中は早期がんの治療も含めのべ数千件の内視鏡手術を施行。
令和6年10月より上田胃腸クリニックの院長に就任。
内視鏡検査だけでなく、胃痛・腹痛・胸やけや便秘などの胃腸症状専門外来や、がんの予防・早期発見に力を入れ、診療を行っている。
- 日本内科学会認定医
- 日本消化器病学会専門医
🩺 診療にあたっての想い
「症状がつらい、病気が怖い…」そんな患者さんの気持ちに寄り添い、ご不安がある方でも、「ここを受診してよかった」と思っていただけるような診療を大切にしています。胃や腸のことで不安がある方は、池袋上田胃腸クリニックまでお気軽にご相談ください。
アクセス
〒1710014
東京都豊島区池袋2丁目66-10
上田胃腸クリニック(池袋駅 北口から徒歩5分)
- JR「池袋」北改札 → 左へ → 20b出口から地上へ
- 文化通りを直進、「スーパーホテル」「まいばすけっと」を左手に通過
- その先の十字路を越え、左手4軒目が当院です(迷ったら 03-5953-5903)
▶お電話での予約・お問い合わせ:03-5953-5903
▶WEB予約は【こちら】
文責:東海林英典院長・神谷雄介理事長(消化器内科・内視鏡専門医)
